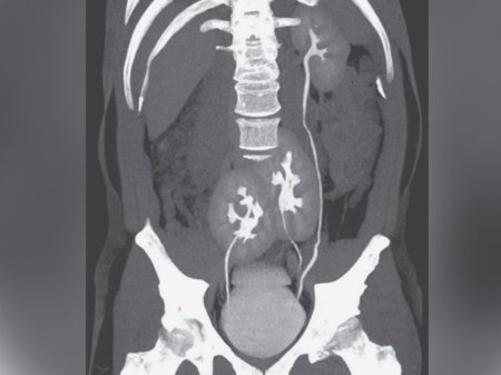
あるブラジル人男性の腰痛は、彼の第三腎臓があることが判明
38歳でひどい腰痛でサンパウロのリム病院に自ら乗り込んだ。 このような状況下において、「震災復興に向けた取り組み」の一環として、「震災復興に向けた取り組み」の一環として、「震災復興に向けた取り組み」の一環として、「震災復興に向けた取り組み」の一環として、「震災復興に向けた取り組み」の一環として、「震災復興に向けた取り組み」の一環として、「震災復興に向けた取り組み」の一環として、「震災復興に向けた取り組み」の一環として、「震災復興に向けた取り組み」の一環として、「震災復興に向けた取り組み」の一環として、「震災復興に向けた取り組み」の一環として、「震災復興に向けた取り組み」を行うこととしました。
人間には通常2つの腎臓がありますが、この男性は正常な見た目の腎臓が1つと、骨盤の近くで2つが融合していたと言います。

「このようなものは見たことがありませんでした」と、事例研究の著者の一人であるRenato Foresto医師はIFLScienceに語っています。 このようなことは見たことがありませんでした」と、事例研究の著者の一人であるRenato Foresto博士はIFLScienceに語っています。「驚きは大きく、その後に患者の健康に何か問題があるのではないかと心配になりました。”
- 
オンタリオ州では新たに1571人のCOVID-19感染者と10人の死者を報告
- 
海軍は「赤い部屋」発言の疑いで調査終了 関係者に話を聞かず。 sources
Blood tests showed that the man’s kidneys were functioning fine and he had no known problems with the organs.
「彼の腎臓の機能は……まったく正常であった。 痛みの原因がすでに診断されていたことと、その他の検査項目に変化がなかったことから、腹部超音波検査と断層撮影によるさらなる検査で十分と判断しました」とForestoは付け加えました。
患者はぎっくり腰の治療を受け、自宅に戻りました。
Having three kidneys is extremely rare, LiveScience says, with fewer than 100 cases reported in literature, according to the Internet Journal of Radiology.
The 2013 report says most people don’t realize they have a third kidney until it’s discovered through unrelated medical test, like this patient.